> Antigen, Antibodies, ELISA, Western Blot > Primary Antibody > Polyclonal Antibodies > REG3A Polyclonal AntibodyBrand |
Leading Biology | Catalog Number |
APR24623N |
Product Type |
Polyclonal Antibodies | Field of Research |
Tumor-associated antigens |
Product Overview |
We constantly strive to ensure we provide our customers with the best antibodies. As a result of this work we offer this antibody in purified format.
We are in the process of updating our datasheets. If you have any questions regarding this update, please feel free to contact our technical support team.
This product is a high quality REG3A Polyclonal Antibody.
|
||
Molecular Weight |
Calculated MW:
19kDa
Observed MW:
15kDa
|
||
Species Reactivity |
Rabbit
|
||
Immunogen |
Recombinant fusion protein of human REG3A (NP_002571.1).
|
||
Cross Reactivity |
Human,Mouse,Rat
|
||
Isotype |
IgG
|
||
GeneID |
|||
UniProt ID |
|||
Purity |
Affinity purification |
||
Storage & Stability |
Store at +4°C short term. For long-term storage, aliquot and store at -20°C or below. Stable for 12 months at -20°C. Avoid repeated freeze-thaw cycles.
|
||
Storage Buffer |
Buffer: PBS with 50% glycerol, pH7.3.
|
||
Applications |
WB,IHC,IF
|
||
Dilution |
WB 1:500 - 1:2000
IHC 1:50 - 1:100
IF 1:50 - 1:200
|
||
Product Description |
This gene encodes a pancreatic secretory protein that may be involved in cell proliferation or differentiation. It has similarity to the C-type lectin superfamily. The enhanced expression of this gene is observed during pancreatic inflammation and liver carcinogenesis. The mature protein also functions as an antimicrobial protein with antibacterial activity. Alternate splicing results in multiple transcript variants that encode the same protein.
|
||
Synonyms |
REG3A; HIP; HIP/PAP; INGAP; PAP; PAP-H; PAP1; PBCGF; REG-III; REG3; regenerating family member 3 alpha
|
||
Images |
Western blot analysis of extracts of various cell lines, using REG3A antibody.
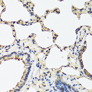
Immunohistochemistry of paraffin-embedded rat lung using REG3A antibody.
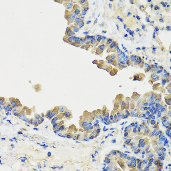
Immunohistochemistry of paraffin-embedded mouse lung using REG3A antibody. |
||
Specification |
|||
Quantity |
|
||
| Select | Brand | Catalog No. | Product Name | Pack Size | Type | Field of Research | Specification | Quantity | Price(USD) | |
| 1 | Leading Biology | APR03440G | ITGA11 Antibody (N-term) | 100 μl | Polyclonal Antibodies |
|
$495.00 | Add Ask | ||
| 2 | Leading Biology | APR04537G | CMIP Antibody (C-term) | 100 μl | Polyclonal Antibodies |
|
$495.00 | Add Ask | ||
| 3 | Leading Biology | APR12422G | Human H4 Histamine Receptor (extracellular) Antibody | 50 μl | Polyclonal Antibodies |
|
$695.00 | Add Ask | ||
| 4 | Leading Biology | APR03844G | UBE2W Antibody (C-term) | 100 μl | Polyclonal Antibodies |
|
$495.00 | Add Ask | ||
| 5 | Leading Biology | APR04349G | HECTD2 Antibody (N-term) | 100 μl | Polyclonal Antibodies |
|
$495.00 | Add Ask | ||
| 6 | Leading Biology | APR03502G | IGHG1 Antibody (Center) | 100 μl | Polyclonal Antibodies |
|
$495.00 | Add Ask |
Leading Biology Inc.
2600 Hilltop DR, Building G, B Suite C138
Richmond, CA, 94806
Tel: 1-661-524(LBI)-0262
Email: info@leadingbiology.com
Complete this form and click send to ask us a question, request a quote or simply say hello.

You have 0 item in your cart

You have 0 item in your inquiry list